嬰幼兒腹痛間歇性哭鬧,竟是「腸套疊」腸子卡住了!
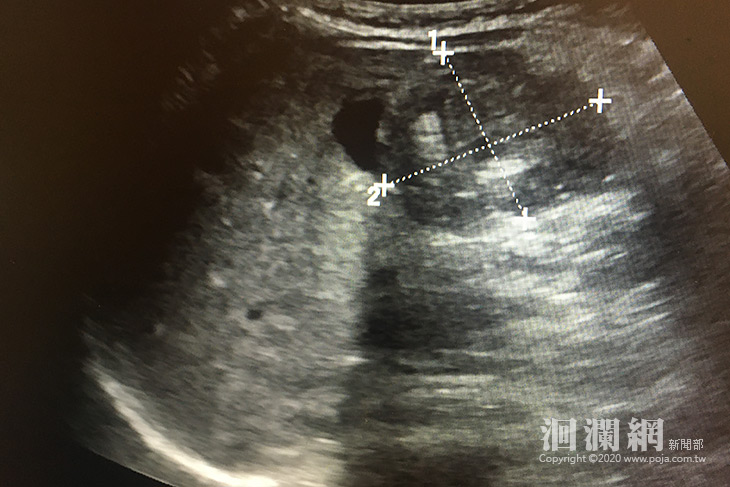
日前一歲三個月張姓男童突然出現一陣一陣哭鬧的情形,安撫後可稍微睡著,但是過一陣子醒來又開始哭,間隔的時間越來越短,母親焦急赴花蓮慈濟醫院急診求診。小兒腸胃科張雲傑醫師立即做腹部超音波檢查,發現「腸套疊」後立即以超音波搭配生理食鹽水灌腸,做腸套疊復位術。

張雲傑醫師表示,腸套疊是好發於一歲前後的嬰幼兒,反覆哭鬧、無法安撫、找不到舒服的姿勢,甚至不想進食,腹痛的頻率越來越密集,每10-15分鐘,甚至更密集,就想像手指頭綁上橡皮筋的感覺,綁越久,腸子局部組織會因缺血而壞死,阻塞的症狀如嘔吐會變得非常明顯,無法抑制得下來。當解出草莓醬狀的黏液便,就是腸子已經套了一段時間了!張雲傑提醒,若孩子出現上述疑似腸套疊症狀,需儘快就醫。

在急診時,媽媽告訴張雲傑醫師,弟弟哭鬧不安時,雙腳會往腹部縮起來,在床上翻來覆去很難安撫,每次過了20-30分鐘後,狀況就會好一點,但經過半小時後,又會再次發生同樣狀況。
「還好媽媽夠機警!」張雲傑指出,腸套疊是嬰幼兒期常見的腹部急症,由於小寶寶還無法表達自己的不舒服,因為必須仰賴照顧者的觀察,而張小弟因為年紀小,就診時有煩躁不安及哭鬧的現象,好在家長能及時發現病情,使孩子得到正確診治,預後情況相當良好。若病情一拖再拖,治療不及,就可能導致腸壞死,甚至休克、死亡,父母們需多加注意。
雖然至今仍不清楚腸套疊真正的致病因素,然因其好發於春夏季節交接和初冬時期,此時正是胃腸炎盛行的時候,所以有相關研究認為和腺病毒腸道感染有相當大的關連。張雲傑也呼籲家長若發現嬰幼兒有異常哭鬧、嘔吐、倦怠情況,應速就醫檢查,及早發現接受治療。
洄瀾網 |記者| 楊均濰/整理