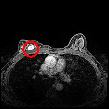
四十八歲的林小姐,日前在乳房上摸到一個腫塊,經花蓮慈濟醫院一般外科暨乳房外科醫師張群明,檢查發現罹患了第一期乳癌,在醫師建議下進行內視鏡乳房切除與重建手術,術後恢復良好。張群明醫師提醒,女性朋友若是發現乳房有異樣,需及早就診治療,與醫師討論最佳的治療方法,一起重新找回健康與美麗。

目前新式乳房微創手術有整形式乳房保留手術、內視鏡乳房切除合併重建手術等兩種術式,張群明醫師指出,術後的兩側乳房看起來不會有明顯差別,其中「內視鏡乳房切除合併重建手術」從胸部的側邊接近腋下處打開一個約五公分的傷口,將整個乳房組織取出後,放置義乳重建。適合乳房小、腫瘤小且沒有腋下淋巴結轉移的患者。林小姐身材較嬌小,乳房大小為中等偏小,且腫瘤小於兩公分,因此建議治療方式為內視鏡乳房切除合併重建手術。

乳癌目前依據荷爾蒙受體(雌激素受體,黃體激素受體)與HER2受體,分成三種型態:荷爾蒙受體陽性、HER2受體陽性、三陰性乳癌。林小姐是第一期乳癌,荷爾蒙受體陽性,沒有淋巴結轉移,張群明醫師說,除了為林小姐手術外,再加上口服抗荷爾蒙藥物治療,定期服藥追蹤即可。張群明醫師也提到,現今乳癌治療成績來越來越好,醫療團隊會依照患者的年齡、身體狀況、乳癌不同的受體型態、腫瘤大小、淋巴結有沒有轉移等等,來訂定最適合的治療計畫,目前第一期乳癌五年的平均存活率超過95%;第二期乳癌,平均活率也接近90%;第三期的平均存活率約70%;第四期約25%,只要早期發現,早期治療就有很好的治療結果。

經過張群明醫師的詳細說明及手術,還有醫療團隊照護後,也讓因罹癌而擔憂的林小姐很安心,她說道,那時真的很慌張,還好有張醫師細心評估合適的治療方式以及醫療團隊的用心照護,陪伴她渡過這段時間,非常感恩。
張群明醫師也表示,臨床上有時會遇到女性朋友在乳房上摸到硬塊,因為擔心、害怕、害羞來醫院做乳房檢查,沒有及早來檢查,導致腫瘤惡化才到醫院,反而錯失了早期治療的時機。花蓮慈濟醫院在今年四月成立乳房醫學中心,一站式的流程,就診時醫師可以立即安排當日檢查,且乳房攝影與超音波檢查人員皆是女性。若檢查結果為良性,心中的大石頭可以馬上放下;若懷疑是惡性,醫師當日馬上進行乳房穿刺切片檢查,並依檢查結果量身打造最適合的治療與追蹤計劃,及早開始治療,重拾往日正常生活不困難。
資料提供:花蓮慈濟醫院
洄瀾網 |記者| 楊均濰/整理