│
poja.com.tw 洄瀾網首頁
│
花蓮民宿王
│
花蓮住宿情報網
│
花蓮旅遊資訊網
│
花蓮美食網
│
新聞
首頁
花蓮旅遊
花蓮市近郊
太魯閣
花東海岸
縱谷北端
縱谷南端
旅遊專題報導
花蓮住宿
市區民宿
市郊民宿
海岸民宿
縱谷民宿
民宿專題報導
花蓮美食
名產特產
飲品甜點
特色餐館
異國料理
小吃夜市
花蓮新聞
熱門活動
旅遊資訊
在地生活
消費資訊
花蓮影音
旅遊影音
花蓮市週邊
太魯閣
花東縱谷
花東海岸
民宿影音
市區
市郊
縱谷
海岸
留言板
熱門活動
旅遊資訊
在地生活
消費資訊
「奇萊玩一夏」自行車之旅開放報名 市
「奇萊玩一夏」自行車之旅
花開樹語健走未來 植樹月3
經典賽資格轉播派對賽21日
2025花蓮太平洋燈會2/12百
花蓮市金蛇祈福迎燈趣 周
全台最美燈會在花蓮!「2025
首部客家音樂劇藝術下鄉
「花菸慢漫」最終場─聖誕
「2024-2025花蓮太平洋觀
魏嘉彥邀市民周六來健走
宜花東三縣首度聯手 推出「全年免費賞
宜花東三縣首度聯手 推出
二二八連假合歡山七星連珠
親子來花東的首選品牌「童
理想大地用火龍果炒飯征服
武嶺違規燃放煙火 太管處
「Eastern Flow」花東國際
第3波寒流來襲!合歡山追雪
花縣府推 春節百花走春攻
春節「蛇」來賞花海 大農
花蓮市區停車場清單 鼓勵
花蓮市公所推動兵役業務表現亮眼 榮獲
花蓮市公所推動兵役業務表
花蓮縣政府發表緊急避難包
城市永續花蓮美好—嶄新環
機車駕駛更安全 花蓮縣政
日本全国旅館同業組合連合
花蓮市增設三個福氣站 增
驚蟄喚醒萬物 花蓮南區贈
日本名城高校拜訪姊妹校四
吉安登革熱防治作業 啟用
扶輪社捐贈門諾團隊行動吞
瑞穗天合國際觀光酒店搶攻春遊熱潮 推
瑞穗天合國際觀光酒店搶攻
給自己一場療癒系出走一個
「蟹」逅美味!四人同行每人
太魯閣晶英酒店x「薑心比
遠百花蓮小龍福袋預購開賣
理想開運年菜開搶「理想嫩
花蓮遠百2025春節福袋預購
花蓮遠百 青森縣弘前市物
瑞穗天合一月限定優惠 兩
「花得開心購物節」開跑
在地生活推薦
【防治登革熱吉安消毒起跑,游淑貞籲鄉親一起來防治】
2021-03-08
吉安鄉公所於今日起辦理全鄉110年度第一次防治登革熱環境消毒工作,依訂定期程時間,上午在仁和村起跑,未來持續在吉安鄉18村漸進執行。鄉長游淑貞一早偕同村長賴明章、清潔隊長樊一明等,前往作業區域實地關心作業情形。吉... <詳全文>
【感謝各界點亮道路光明路 魏嘉賢頒發感謝狀】
2021-03-05
花蓮市公所推動認養路燈做公益,自推動以來陸續受到許多企業、民間團體、愛心人士的響應,110年度路燈認養盞數,統計至2月底已達1467盞,今天於洄瀾文創生活藝能教室舉辦表揚儀式,市長魏嘉賢頒發感謝狀予認養20盞以上的單位與... <詳全文>
【徐榛蔚縣長授證寄養家庭,為孩子築溫暖的家】
2021-03-05
花蓮縣政府今日舉辦「110年度寄養家庭授證」,縣長徐榛蔚頒發110年度寄養家庭聘書,由資深寄養媽媽黃素白等6戶寄養家庭代表接受授證,縣長感謝今年50戶寄養家庭守護花蓮的孩子,提供失依受虐兒童替代的家,寄養父母願意打開自... <詳全文>
【福氣站陸續開站,魏嘉賢至主和站發送加菜金】
2021-03-05
農曆春節過後隨著國內疫情趨緩,花蓮市多個福氣站陸續開站,市長魏嘉賢前往主和里活動中心關切福氣站開站情況,他和長者們一起做體操外,還特地發送加菜金讓長者能吃得健康、動得愉快,他也叮嚀大家還是要做好個人防疫,戴好口罩... <詳全文>
【姊姊妹妹動起來! 慶祝婦女節到市圖借書送健康】
2021-03-04
花蓮市立圖書館為歡慶3月8日國際婦女節,推出「閱讀送健康活動」,只要於本周六、兩天在市圖三館借滿3本書,可獲得免費女性專屬運動體驗券,數量有限,送完為止,期望平日忙於工作或是照顧家庭的女性,都能寵愛自己,做個知性又動感... <詳全文>
【110年花蓮縣長盃中小學聯合運動會田徑錦標賽登】
2021-03-04
花蓮有體育大縣之美譽,更是培育體育新星的搖籃,花蓮縣教育處今日上午在花蓮縣立田徑場舉辦「110年花蓮縣縣長盃中小學聯合運動會田徑錦標賽」開幕典禮,同時爭取110全國中等學校運動會與全國小學田徑賽花蓮代表權,由縣長徐... <詳全文>
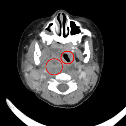
【發燒脖子腫要當心,深頸膿瘍恐致命】
2021-03-03
兩歲半的小涵(化名)因持續兩三日的發燒,且不願開口說話、進食,被送往花蓮慈濟醫院就診,檢查發現是深頸部後咽腔膿瘍壓迫所致,經小兒部張雲傑醫師診斷需盡快動手術,並立刻聯繫耳鼻喉科周昱甫醫師做清創和引流,所幸小涵在術後恢... <詳全文>
【陳氏太極拳研習武動好客藝術村,響應吉安推展健康】
2021-03-02
花蓮縣陳氏太極拳協會特別選在吉安好客藝村辦理「拳經拳理及38式太極拳研習活動」,協會理事長李睿紘及特別遠從嘉義禮聘前來的太極拳名教練徐秉弘,帶著近七十位學員首次在好客藝術村「以拳會友」,展開一系列的研習課程。... <詳全文>
頁次:336/1483 每頁8 總數11860
首頁
上一頁
下一頁
尾頁
轉到:
第 1 頁
第 2 頁
第 3 頁
第 4 頁
第 5 頁
第 6 頁
第 7 頁
第 8 頁
第 9 頁
第 10 頁
第 11 頁
第 12 頁
第 13 頁
第 14 頁
第 15 頁
第 16 頁
第 17 頁
第 18 頁
第 19 頁
第 20 頁
第 21 頁
第 22 頁
第 23 頁
第 24 頁
第 25 頁
第 26 頁
第 27 頁
第 28 頁
第 29 頁
第 30 頁
第 31 頁
第 32 頁
第 33 頁
第 34 頁
第 35 頁
第 36 頁
第 37 頁
第 38 頁
第 39 頁
第 40 頁
第 41 頁
第 42 頁
第 43 頁
第 44 頁
第 45 頁
第 46 頁
第 47 頁
第 48 頁
第 49 頁
第 50 頁
第 51 頁
第 52 頁
第 53 頁
第 54 頁
第 55 頁
第 56 頁
第 57 頁
第 58 頁
第 59 頁
第 60 頁
第 61 頁
第 62 頁
第 63 頁
第 64 頁
第 65 頁
第 66 頁
第 67 頁
第 68 頁
第 69 頁
第 70 頁
第 71 頁
第 72 頁
第 73 頁
第 74 頁
第 75 頁
第 76 頁
第 77 頁
第 78 頁
第 79 頁
第 80 頁
第 81 頁
第 82 頁
第 83 頁
第 84 頁
第 85 頁
第 86 頁
第 87 頁
第 88 頁
第 89 頁
第 90 頁
第 91 頁
第 92 頁
第 93 頁
第 94 頁
第 95 頁
第 96 頁
第 97 頁
第 98 頁
第 99 頁
第 100 頁
第 101 頁
第 102 頁
第 103 頁
第 104 頁
第 105 頁
第 106 頁
第 107 頁
第 108 頁
第 109 頁
第 110 頁
第 111 頁
第 112 頁
第 113 頁
第 114 頁
第 115 頁
第 116 頁
第 117 頁
第 118 頁
第 119 頁
第 120 頁
第 121 頁
第 122 頁
第 123 頁
第 124 頁
第 125 頁
第 126 頁
第 127 頁
第 128 頁
第 129 頁
第 130 頁
第 131 頁
第 132 頁
第 133 頁
第 134 頁
第 135 頁
第 136 頁
第 137 頁
第 138 頁
第 139 頁
第 140 頁
第 141 頁
第 142 頁
第 143 頁
第 144 頁
第 145 頁
第 146 頁
第 147 頁
第 148 頁
第 149 頁
第 150 頁
第 151 頁
第 152 頁
第 153 頁
第 154 頁
第 155 頁
第 156 頁
第 157 頁
第 158 頁
第 159 頁
第 160 頁
第 161 頁
第 162 頁
第 163 頁
第 164 頁
第 165 頁
第 166 頁
第 167 頁
第 168 頁
第 169 頁
第 170 頁
第 171 頁
第 172 頁
第 173 頁
第 174 頁
第 175 頁
第 176 頁
第 177 頁
第 178 頁
第 179 頁
第 180 頁
第 181 頁
第 182 頁
第 183 頁
第 184 頁
第 185 頁
第 186 頁
第 187 頁
第 188 頁
第 189 頁
第 190 頁
第 191 頁
第 192 頁
第 193 頁
第 194 頁
第 195 頁
第 196 頁
第 197 頁
第 198 頁
第 199 頁
第 200 頁
第 201 頁
第 202 頁
第 203 頁
第 204 頁
第 205 頁
第 206 頁
第 207 頁
第 208 頁
第 209 頁
第 210 頁
第 211 頁
第 212 頁
第 213 頁
第 214 頁
第 215 頁
第 216 頁
第 217 頁
第 218 頁
第 219 頁
第 220 頁
第 221 頁
第 222 頁
第 223 頁
第 224 頁
第 225 頁
第 226 頁
第 227 頁
第 228 頁
第 229 頁
第 230 頁
第 231 頁
第 232 頁
第 233 頁
第 234 頁
第 235 頁
第 236 頁
第 237 頁
第 238 頁
第 239 頁
第 240 頁
第 241 頁
第 242 頁
第 243 頁
第 244 頁
第 245 頁
第 246 頁
第 247 頁
第 248 頁
第 249 頁
第 250 頁
第 251 頁
第 252 頁
第 253 頁
第 254 頁
第 255 頁
第 256 頁
第 257 頁
第 258 頁
第 259 頁
第 260 頁
第 261 頁
第 262 頁
第 263 頁
第 264 頁
第 265 頁
第 266 頁
第 267 頁
第 268 頁
第 269 頁
第 270 頁
第 271 頁
第 272 頁
第 273 頁
第 274 頁
第 275 頁
第 276 頁
第 277 頁
第 278 頁
第 279 頁
第 280 頁
第 281 頁
第 282 頁
第 283 頁
第 284 頁
第 285 頁
第 286 頁
第 287 頁
第 288 頁
第 289 頁
第 290 頁
第 291 頁
第 292 頁
第 293 頁
第 294 頁
第 295 頁
第 296 頁
第 297 頁
第 298 頁
第 299 頁
第 300 頁
第 301 頁
第 302 頁
第 303 頁
第 304 頁
第 305 頁
第 306 頁
第 307 頁
第 308 頁
第 309 頁
第 310 頁
第 311 頁
第 312 頁
第 313 頁
第 314 頁
第 315 頁
第 316 頁
第 317 頁
第 318 頁
第 319 頁
第 320 頁
第 321 頁
第 322 頁
第 323 頁
第 324 頁
第 325 頁
第 326 頁
第 327 頁
第 328 頁
第 329 頁
第 330 頁
第 331 頁
第 332 頁
第 333 頁
第 334 頁
第 335 頁
第 336 頁
第 337 頁
第 338 頁
第 339 頁
第 340 頁
第 341 頁
第 342 頁
第 343 頁
第 344 頁
第 345 頁
第 346 頁
第 347 頁
第 348 頁
第 349 頁
第 350 頁
第 351 頁
第 352 頁
第 353 頁
第 354 頁
第 355 頁
第 356 頁
第 357 頁
第 358 頁
第 359 頁
第 360 頁
第 361 頁
第 362 頁
第 363 頁
第 364 頁
第 365 頁
第 366 頁
第 367 頁
第 368 頁
第 369 頁
第 370 頁
第 371 頁
第 372 頁
第 373 頁
第 374 頁
第 375 頁
第 376 頁
第 377 頁
第 378 頁
第 379 頁
第 380 頁
第 381 頁
第 382 頁
第 383 頁
第 384 頁
第 385 頁
第 386 頁
第 387 頁
第 388 頁
第 389 頁
第 390 頁
第 391 頁
第 392 頁
第 393 頁
第 394 頁
第 395 頁
第 396 頁
第 397 頁
第 398 頁
第 399 頁
第 400 頁
第 401 頁
第 402 頁
第 403 頁
第 404 頁
第 405 頁
第 406 頁
第 407 頁
第 408 頁
第 409 頁
第 410 頁
第 411 頁
第 412 頁
第 413 頁
第 414 頁
第 415 頁
第 416 頁
第 417 頁
第 418 頁
第 419 頁
第 420 頁
第 421 頁
第 422 頁
第 423 頁
第 424 頁
第 425 頁
第 426 頁
第 427 頁
第 428 頁
第 429 頁
第 430 頁
第 431 頁
第 432 頁
第 433 頁
第 434 頁
第 435 頁
第 436 頁
第 437 頁
第 438 頁
第 439 頁
第 440 頁
第 441 頁
第 442 頁
第 443 頁
第 444 頁
第 445 頁
第 446 頁
第 447 頁
第 448 頁
第 449 頁
第 450 頁
第 451 頁
第 452 頁
第 453 頁
第 454 頁
第 455 頁
第 456 頁
第 457 頁
第 458 頁
第 459 頁
第 460 頁
第 461 頁
第 462 頁
第 463 頁
第 464 頁
第 465 頁
第 466 頁
第 467 頁
第 468 頁
第 469 頁
第 470 頁
第 471 頁
第 472 頁
第 473 頁
第 474 頁
第 475 頁
第 476 頁
第 477 頁
第 478 頁
第 479 頁
第 480 頁
第 481 頁
第 482 頁
第 483 頁
第 484 頁
第 485 頁
第 486 頁
第 487 頁
第 488 頁
第 489 頁
第 490 頁
第 491 頁
第 492 頁
第 493 頁
第 494 頁
第 495 頁
第 496 頁
第 497 頁
第 498 頁
第 499 頁
第 500 頁
第 501 頁
第 502 頁
第 503 頁
第 504 頁
第 505 頁
第 506 頁
第 507 頁
第 508 頁
第 509 頁
第 510 頁
第 511 頁
第 512 頁
第 513 頁
第 514 頁
第 515 頁
第 516 頁
第 517 頁
第 518 頁
第 519 頁
第 520 頁
第 521 頁
第 522 頁
第 523 頁
第 524 頁
第 525 頁
第 526 頁
第 527 頁
第 528 頁
第 529 頁
第 530 頁
第 531 頁
第 532 頁
第 533 頁
第 534 頁
第 535 頁
第 536 頁
第 537 頁
第 538 頁
第 539 頁
第 540 頁
第 541 頁
第 542 頁
第 543 頁
第 544 頁
第 545 頁
第 546 頁
第 547 頁
第 548 頁
第 549 頁
第 550 頁
第 551 頁
第 552 頁
第 553 頁
第 554 頁
第 555 頁
第 556 頁
第 557 頁
第 558 頁
第 559 頁
第 560 頁
第 561 頁
第 562 頁
第 563 頁
第 564 頁
第 565 頁
第 566 頁
第 567 頁
第 568 頁
第 569 頁
第 570 頁
第 571 頁
第 572 頁
第 573 頁
第 574 頁
第 575 頁
第 576 頁
第 577 頁
第 578 頁
第 579 頁
第 580 頁
第 581 頁
第 582 頁
第 583 頁
第 584 頁
第 585 頁
第 586 頁
第 587 頁
第 588 頁
第 589 頁
第 590 頁
第 591 頁
第 592 頁
第 593 頁
第 594 頁
第 595 頁
第 596 頁
第 597 頁
第 598 頁
第 599 頁
第 600 頁
第 601 頁
第 602 頁
第 603 頁
第 604 頁
第 605 頁
第 606 頁
第 607 頁
第 608 頁
第 609 頁
第 610 頁
第 611 頁
第 612 頁
第 613 頁
第 614 頁
第 615 頁
第 616 頁
第 617 頁
第 618 頁
第 619 頁
第 620 頁
第 621 頁
第 622 頁
第 623 頁
第 624 頁
第 625 頁
第 626 頁
第 627 頁
第 628 頁
第 629 頁
第 630 頁
第 631 頁
第 632 頁
第 633 頁
第 634 頁
第 635 頁
第 636 頁
第 637 頁
第 638 頁
第 639 頁
第 640 頁
第 641 頁
第 642 頁
第 643 頁
第 644 頁
第 645 頁
第 646 頁
第 647 頁
第 648 頁
第 649 頁
第 650 頁
第 651 頁
第 652 頁
第 653 頁
第 654 頁
第 655 頁
第 656 頁
第 657 頁
第 658 頁
第 659 頁
第 660 頁
第 661 頁
第 662 頁
第 663 頁
第 664 頁
第 665 頁
第 666 頁
第 667 頁
第 668 頁
第 669 頁
第 670 頁
第 671 頁
第 672 頁
第 673 頁
第 674 頁
第 675 頁
第 676 頁
第 677 頁
第 678 頁
第 679 頁
第 680 頁
第 681 頁
第 682 頁
第 683 頁
第 684 頁
第 685 頁
第 686 頁
第 687 頁
第 688 頁
第 689 頁
第 690 頁
第 691 頁
第 692 頁
第 693 頁
第 694 頁
第 695 頁
第 696 頁
第 697 頁
第 698 頁
第 699 頁
第 700 頁
第 701 頁
第 702 頁
第 703 頁
第 704 頁
第 705 頁
第 706 頁
第 707 頁
第 708 頁
第 709 頁
第 710 頁
第 711 頁
第 712 頁
第 713 頁
第 714 頁
第 715 頁
第 716 頁
第 717 頁
第 718 頁
第 719 頁
第 720 頁
第 721 頁
第 722 頁
第 723 頁
第 724 頁
第 725 頁
第 726 頁
第 727 頁
第 728 頁
第 729 頁
第 730 頁
第 731 頁
第 732 頁
第 733 頁
第 734 頁
第 735 頁
第 736 頁
第 737 頁
第 738 頁
第 739 頁
第 740 頁
第 741 頁
第 742 頁
第 743 頁
第 744 頁
第 745 頁
第 746 頁
第 747 頁
第 748 頁
第 749 頁
第 750 頁
第 751 頁
第 752 頁
第 753 頁
第 754 頁
第 755 頁
第 756 頁
第 757 頁
第 758 頁
第 759 頁
第 760 頁
第 761 頁
第 762 頁
第 763 頁
第 764 頁
第 765 頁
第 766 頁
第 767 頁
第 768 頁
第 769 頁
第 770 頁
第 771 頁
第 772 頁
第 773 頁
第 774 頁
第 775 頁
第 776 頁
第 777 頁
第 778 頁
第 779 頁
第 780 頁
第 781 頁
第 782 頁
第 783 頁
第 784 頁
第 785 頁
第 786 頁
第 787 頁
第 788 頁
第 789 頁
第 790 頁
第 791 頁
第 792 頁
第 793 頁
第 794 頁
第 795 頁
第 796 頁
第 797 頁
第 798 頁
第 799 頁
第 800 頁
第 801 頁
第 802 頁
第 803 頁
第 804 頁
第 805 頁
第 806 頁
第 807 頁
第 808 頁
第 809 頁
第 810 頁
第 811 頁
第 812 頁
第 813 頁
第 814 頁
第 815 頁
第 816 頁
第 817 頁
第 818 頁
第 819 頁
第 820 頁
第 821 頁
第 822 頁
第 823 頁
第 824 頁
第 825 頁
第 826 頁
第 827 頁
第 828 頁
第 829 頁
第 830 頁
第 831 頁
第 832 頁
第 833 頁
第 834 頁
第 835 頁
第 836 頁
第 837 頁
第 838 頁
第 839 頁
第 840 頁
第 841 頁
第 842 頁
第 843 頁
第 844 頁
第 845 頁
第 846 頁
第 847 頁
第 848 頁
第 849 頁
第 850 頁
第 851 頁
第 852 頁
第 853 頁
第 854 頁
第 855 頁
第 856 頁
第 857 頁
第 858 頁
第 859 頁
第 860 頁
第 861 頁
第 862 頁
第 863 頁
第 864 頁
第 865 頁
第 866 頁
第 867 頁
第 868 頁
第 869 頁
第 870 頁
第 871 頁
第 872 頁
第 873 頁
第 874 頁
第 875 頁
第 876 頁
第 877 頁
第 878 頁
第 879 頁
第 880 頁
第 881 頁
第 882 頁
第 883 頁
第 884 頁
第 885 頁
第 886 頁
第 887 頁
第 888 頁
第 889 頁
第 890 頁
第 891 頁
第 892 頁
第 893 頁
第 894 頁
第 895 頁
第 896 頁
第 897 頁
第 898 頁
第 899 頁
第 900 頁
第 901 頁
第 902 頁
第 903 頁
第 904 頁
第 905 頁
第 906 頁
第 907 頁
第 908 頁
第 909 頁
第 910 頁
第 911 頁
第 912 頁
第 913 頁
第 914 頁
第 915 頁
第 916 頁
第 917 頁
第 918 頁
第 919 頁
第 920 頁
第 921 頁
第 922 頁
第 923 頁
第 924 頁
第 925 頁
第 926 頁
第 927 頁
第 928 頁
第 929 頁
第 930 頁
第 931 頁
第 932 頁
第 933 頁
第 934 頁
第 935 頁
第 936 頁
第 937 頁
第 938 頁
第 939 頁
第 940 頁
第 941 頁
第 942 頁
第 943 頁
第 944 頁
第 945 頁
第 946 頁
第 947 頁
第 948 頁
第 949 頁
第 950 頁
第 951 頁
第 952 頁
第 953 頁
第 954 頁
第 955 頁
第 956 頁
第 957 頁
第 958 頁
第 959 頁
第 960 頁
第 961 頁
第 962 頁
第 963 頁
第 964 頁
第 965 頁
第 966 頁
第 967 頁
第 968 頁
第 969 頁
第 970 頁
第 971 頁
第 972 頁
第 973 頁
第 974 頁
第 975 頁
第 976 頁
第 977 頁
第 978 頁
第 979 頁
第 980 頁
第 981 頁
第 982 頁
第 983 頁
第 984 頁
第 985 頁
第 986 頁
第 987 頁
第 988 頁
第 989 頁
第 990 頁
第 991 頁
第 992 頁
第 993 頁
第 994 頁
第 995 頁
第 996 頁
第 997 頁
第 998 頁
第 999 頁
第 1000 頁
第 1001 頁
第 1002 頁
第 1003 頁
第 1004 頁
第 1005 頁
第 1006 頁
第 1007 頁
第 1008 頁
第 1009 頁
第 1010 頁
第 1011 頁
第 1012 頁
第 1013 頁
第 1014 頁
第 1015 頁
第 1016 頁
第 1017 頁
第 1018 頁
第 1019 頁
第 1020 頁
第 1021 頁
第 1022 頁
第 1023 頁
第 1024 頁
第 1025 頁
第 1026 頁
第 1027 頁
第 1028 頁
第 1029 頁
第 1030 頁
第 1031 頁
第 1032 頁
第 1033 頁
第 1034 頁
第 1035 頁
第 1036 頁
第 1037 頁
第 1038 頁
第 1039 頁
第 1040 頁
第 1041 頁
第 1042 頁
第 1043 頁
第 1044 頁
第 1045 頁
第 1046 頁
第 1047 頁
第 1048 頁
第 1049 頁
第 1050 頁
第 1051 頁
第 1052 頁
第 1053 頁
第 1054 頁
第 1055 頁
第 1056 頁
第 1057 頁
第 1058 頁
第 1059 頁
第 1060 頁
第 1061 頁
第 1062 頁
第 1063 頁
第 1064 頁
第 1065 頁
第 1066 頁
第 1067 頁
第 1068 頁
第 1069 頁
第 1070 頁
第 1071 頁
第 1072 頁
第 1073 頁
第 1074 頁
第 1075 頁
第 1076 頁
第 1077 頁
第 1078 頁
第 1079 頁
第 1080 頁
第 1081 頁
第 1082 頁
第 1083 頁
第 1084 頁
第 1085 頁
第 1086 頁
第 1087 頁
第 1088 頁
第 1089 頁
第 1090 頁
第 1091 頁
第 1092 頁
第 1093 頁
第 1094 頁
第 1095 頁
第 1096 頁
第 1097 頁
第 1098 頁
第 1099 頁
第 1100 頁
第 1101 頁
第 1102 頁
第 1103 頁
第 1104 頁
第 1105 頁
第 1106 頁
第 1107 頁
第 1108 頁
第 1109 頁
第 1110 頁
第 1111 頁
第 1112 頁
第 1113 頁
第 1114 頁
第 1115 頁
第 1116 頁
第 1117 頁
第 1118 頁
第 1119 頁
第 1120 頁
第 1121 頁
第 1122 頁
第 1123 頁
第 1124 頁
第 1125 頁
第 1126 頁
第 1127 頁
第 1128 頁
第 1129 頁
第 1130 頁
第 1131 頁
第 1132 頁
第 1133 頁
第 1134 頁
第 1135 頁
第 1136 頁
第 1137 頁
第 1138 頁
第 1139 頁
第 1140 頁
第 1141 頁
第 1142 頁
第 1143 頁
第 1144 頁
第 1145 頁
第 1146 頁
第 1147 頁
第 1148 頁
第 1149 頁
第 1150 頁
第 1151 頁
第 1152 頁
第 1153 頁
第 1154 頁
第 1155 頁
第 1156 頁
第 1157 頁
第 1158 頁
第 1159 頁
第 1160 頁
第 1161 頁
第 1162 頁
第 1163 頁
第 1164 頁
第 1165 頁
第 1166 頁
第 1167 頁
第 1168 頁
第 1169 頁
第 1170 頁
第 1171 頁
第 1172 頁
第 1173 頁
第 1174 頁
第 1175 頁
第 1176 頁
第 1177 頁
第 1178 頁
第 1179 頁
第 1180 頁
第 1181 頁
第 1182 頁
第 1183 頁
第 1184 頁
第 1185 頁
第 1186 頁
第 1187 頁
第 1188 頁
第 1189 頁
第 1190 頁
第 1191 頁
第 1192 頁
第 1193 頁
第 1194 頁
第 1195 頁
第 1196 頁
第 1197 頁
第 1198 頁
第 1199 頁
第 1200 頁
第 1201 頁
第 1202 頁
第 1203 頁
第 1204 頁
第 1205 頁
第 1206 頁
第 1207 頁
第 1208 頁
第 1209 頁
第 1210 頁
第 1211 頁
第 1212 頁
第 1213 頁
第 1214 頁
第 1215 頁
第 1216 頁
第 1217 頁
第 1218 頁
第 1219 頁
第 1220 頁
第 1221 頁
第 1222 頁
第 1223 頁
第 1224 頁
第 1225 頁
第 1226 頁
第 1227 頁
第 1228 頁
第 1229 頁
第 1230 頁
第 1231 頁
第 1232 頁
第 1233 頁
第 1234 頁
第 1235 頁
第 1236 頁
第 1237 頁
第 1238 頁
第 1239 頁
第 1240 頁
第 1241 頁
第 1242 頁
第 1243 頁
第 1244 頁
第 1245 頁
第 1246 頁
第 1247 頁
第 1248 頁
第 1249 頁
第 1250 頁
第 1251 頁
第 1252 頁
第 1253 頁
第 1254 頁
第 1255 頁
第 1256 頁
第 1257 頁
第 1258 頁
第 1259 頁
第 1260 頁
第 1261 頁
第 1262 頁
第 1263 頁
第 1264 頁
第 1265 頁
第 1266 頁
第 1267 頁
第 1268 頁
第 1269 頁
第 1270 頁
第 1271 頁
第 1272 頁
第 1273 頁
第 1274 頁
第 1275 頁
第 1276 頁
第 1277 頁
第 1278 頁
第 1279 頁
第 1280 頁
第 1281 頁
第 1282 頁
第 1283 頁
第 1284 頁
第 1285 頁
第 1286 頁
第 1287 頁
第 1288 頁
第 1289 頁
第 1290 頁
第 1291 頁
第 1292 頁
第 1293 頁
第 1294 頁
第 1295 頁
第 1296 頁
第 1297 頁
第 1298 頁
第 1299 頁
第 1300 頁
第 1301 頁
第 1302 頁
第 1303 頁
第 1304 頁
第 1305 頁
第 1306 頁
第 1307 頁
第 1308 頁
第 1309 頁
第 1310 頁
第 1311 頁
第 1312 頁
第 1313 頁
第 1314 頁
第 1315 頁
第 1316 頁
第 1317 頁
第 1318 頁
第 1319 頁
第 1320 頁
第 1321 頁
第 1322 頁
第 1323 頁
第 1324 頁
第 1325 頁
第 1326 頁
第 1327 頁
第 1328 頁
第 1329 頁
第 1330 頁
第 1331 頁
第 1332 頁
第 1333 頁
第 1334 頁
第 1335 頁
第 1336 頁
第 1337 頁
第 1338 頁
第 1339 頁
第 1340 頁
第 1341 頁
第 1342 頁
第 1343 頁
第 1344 頁
第 1345 頁
第 1346 頁
第 1347 頁
第 1348 頁
第 1349 頁
第 1350 頁
第 1351 頁
第 1352 頁
第 1353 頁
第 1354 頁
第 1355 頁
第 1356 頁
第 1357 頁
第 1358 頁
第 1359 頁
第 1360 頁
第 1361 頁
第 1362 頁
第 1363 頁
第 1364 頁
第 1365 頁
第 1366 頁
第 1367 頁
第 1368 頁
第 1369 頁
第 1370 頁
第 1371 頁
第 1372 頁
第 1373 頁
第 1374 頁
第 1375 頁
第 1376 頁
第 1377 頁
第 1378 頁
第 1379 頁
第 1380 頁
第 1381 頁
第 1382 頁
第 1383 頁
第 1384 頁
第 1385 頁
第 1386 頁
第 1387 頁
第 1388 頁
第 1389 頁
第 1390 頁
第 1391 頁
第 1392 頁
第 1393 頁
第 1394 頁
第 1395 頁
第 1396 頁
第 1397 頁
第 1398 頁
第 1399 頁
第 1400 頁
第 1401 頁
第 1402 頁
第 1403 頁
第 1404 頁
第 1405 頁
第 1406 頁
第 1407 頁
第 1408 頁
第 1409 頁
第 1410 頁
第 1411 頁
第 1412 頁
第 1413 頁
第 1414 頁
第 1415 頁
第 1416 頁
第 1417 頁
第 1418 頁
第 1419 頁
第 1420 頁
第 1421 頁
第 1422 頁
第 1423 頁
第 1424 頁
第 1425 頁
第 1426 頁
第 1427 頁
第 1428 頁
第 1429 頁
第 1430 頁
第 1431 頁
第 1432 頁
第 1433 頁
第 1434 頁
第 1435 頁
第 1436 頁
第 1437 頁
第 1438 頁
第 1439 頁
第 1440 頁
第 1441 頁
第 1442 頁
第 1443 頁
第 1444 頁
第 1445 頁
第 1446 頁
第 1447 頁
第 1448 頁
第 1449 頁
第 1450 頁
第 1451 頁
第 1452 頁
第 1453 頁
第 1454 頁
第 1455 頁
第 1456 頁
第 1457 頁
第 1458 頁
第 1459 頁
第 1460 頁
第 1461 頁
第 1462 頁
第 1463 頁
第 1464 頁
第 1465 頁
第 1466 頁
第 1467 頁
第 1468 頁
第 1469 頁
第 1470 頁
第 1471 頁
第 1472 頁
第 1473 頁
第 1474 頁
第 1475 頁
第 1476 頁
第 1477 頁
第 1478 頁
第 1479 頁
第 1480 頁
第 1481 頁
第 1482 頁
第 1483 頁
影音情報
本月之星
【溫馨五月,與家人共享好時光】就愛呷百二,養生行
【溫馨五月,與家人共享好時光】就愛動起來,樂生活
【溫馨五月,與家人共享好時光】就愛慢慢來,慢悠遊
砂卡礑步道
北濱公園
會員獨享
還不是花蓮洄瀾網會員
嗎,立即加入即可享有以下禮遇!
※免費索取好康
※分享好康
※花蓮旅遊資訊最新情報
加入會員(免費)
最新新聞
花蓮市公所推動兵役業務表現亮眼 榮獲內政
花蓮縣政府發表緊急避難包及救護包暨0403災
城市永續花蓮美好—嶄新環保裝置藝術成果分
機車駕駛更安全 花蓮縣政府攜手臺北區監理
日本全国旅館同業組合連合会捐款 表達0403
花蓮市增設三個福氣站 增進照護據點豐富長
驚蟄喚醒萬物 花蓮南區贈苗植樹共織綠網
日本名城高校拜訪姊妹校四維高中 魏嘉彥見
吉安登革熱防治作業 啟用新式消毒車
扶輪社捐贈門諾團隊行動吞嚥巡迴車
熱門新聞